
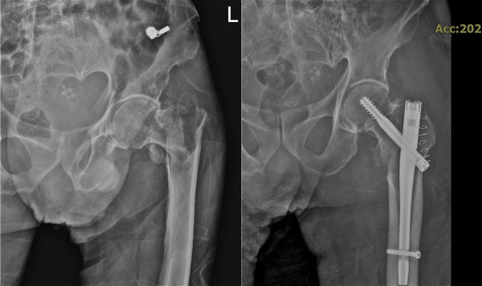
<»çÁøÀº ¼ö¼ú Àü°ú ÈÄ>
ÀμºÀÇ·áÀç´Ü ÇѸ²º´¿øÀÌ 100¼¼ Ãʰí·ÉÀÇ °íÀ§Çè ȯÀÚ¿¡°Ô ¹ß»ýÇÑ ´ëÅð°ñ °ñÀý ¼ö¼úÀ» ¼º°øÀûÀ¸·Î ¸¶Ä¡°í ȯÀÚ°¡ ¾ÈÁ¤ÀûÀΠȸº¹ ´Ü°è¿¡ µé¾î¼¹´Ù°í 16ÀÏ ¹àÇû´Ù.
ÇØ´ç ȯÀÚ´Â ±æ¿¡¼ ¾²·¯Áø ä ÇàÀο¡°Ô ¹ß°ßµÇ¾î 119¸¦ ÅëÇØ ÇѸ²º´¿ø ÀÀ±Þ½Ç·Î ÀÌ¼ÛµÈ »ç·Ê´Ù. Ãʰí·É ȯÀÚ´Â ¸¶Ãë ¹× ¼ö¼ú °úÁ¤¿¡¼ ÇÕº´Áõ À§ÇèÀÌ ¸Å¿ì ³ô±â ¶§¹®¿¡ ¼ö¼ú Àü öÀúÇÑ »çÀü Áغñ¿Í ´ÙÇÐÁ¦ ÇùÁøÀÌ ÇʼöÀûÀÌ´Ù.
À̹ø °í³µµ ¼ö¼úÀº ÇѸ²º´¿ø Á¤Çü¿Ü°ú ±èÀº¿ °úÀåÀ» Áß½ÉÀ¸·Î ôÃß·°üÀý¼¾ÅÍ, ½ÉÀå³»°ú, ÈäºÎ¿Ü°ú, ÁßȯÀÚ½Ç µî ¿©·¯ Àü¹® ÀÇ·áÁøÀÌ ±ä¹ÐÇÏ°Ô Çù·ÂÇÏ´Â ´ÙÇÐÁ¦ ½Ã½ºÅÛÀ¸·Î ÁøÇàµÆ´Ù.
ȯÀÚ´Â ¼ö¼ú ÈÄ ÁßȯÀڽǿ¡¼ ÁýÁß Ä¡·á¸¦ ¹ÞÀº µÚ, ÇöÀç´Â ¾ÈÁ¤ÀûÀΠȸº¹¼¼¸¦ º¸À̸ç ÀÏ»ó º¹±Í¸¦ À§ÇÑ ÀçȰġ·á¿¡ ÀÓÇϰí ÀÖ´Ù.
±èÀº¿ °úÀåÀº “ÇѸ²º´¿ø ôÃß·°üÀý¼¾Åʹ dzºÎÇÑ ÀÓ»ó °æÇèÀ» ¹ÙÅÁÀ¸·Î Ãʰí·É ¹× °íÀ§Çè ȯÀÚ¿¡°Ô ÃÖÀûÈµÈ ¼ö¼ú°ú ÁýÁß °ü¸® ½Ã½ºÅÛÀ» Á¦°øÇϰí ÀÖ´Ù”¸ç “¼ö¼ú Àü ´Ü°èºÎÅÍ ÇùÁø ü°è¸¦ ±¸ÃàÇÏ¿© ȯÀÚ ¾ÈÀüÀ» ÃÖ¿ì¼±À¸·Î Çϰí ÀÖ´Ù”°í °Á¶Çß´Ù.
ÇѸ²º´¿ø ôÃß·°üÀý¼¾ÅÍ´Â 365ÀÏ 24½Ã°£ Àü¹®ÀÇ »óÁÖ Ã¼°è¸¦ °®Ãß°í Á¤È®ÇÑ Áø´Ü°ú Ãֽмö¼ú ±â¹ýÀ¸·Î ¸ÂÃãÇü Ä¡·á¸¦ ½ÃÇàÇϰí ÀÖÀ¸¸ç, Áö³ÇØ¿¡µµ 102¼¼ Ãʰí·É ȯÀÚ ¼ö¼úÀ» ¼º°ø½ÃŰ´Â µî °í³µµ ¼ö¼ú ºÐ¾ß¿¡¼ ¶Ù¾î³ ¿ª·®À» ÀÔÁõÇϰí ÀÖ´Ù.
















