
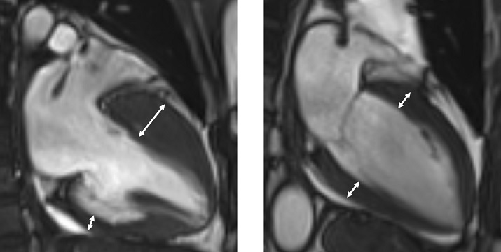
<»çÁøÀÚ·á ¿ÞÂʺÎÅÍ ºñÈļº ½É±Ùº´ÁõÀ» °¡Áø ȯÀÚÀÇ ÀÚ±â°ø¸í¿µ»ó, Á¤»ó ½ÉÀå ÀÚ±â°ø¸í¿µ»ó>
½ÉÀå ±ÙÀ°ÀÌ ºñÁ¤»óÀûÀ¸·Î µÎ²¨¿öÁö´Â ÁúȯÀÎ ‘ºñÈļº(Ýþý§àõ) ½É±Ùº´Áõ’Àº ÀϹÝÀο¡°Ô´Â »ý¼ÒÇÒ ¼ö ÀÖÁö¸¸ ºÎÁ¤¸Æ°ú ½ÉºÎÀüÀ» À¯¹ßÇÏ¸ç ¶§·Î´Â µ¹¿¬»ç·Î À̾îÁú ¼ö ÀÖ´Â À§ÇèÇÑ ½ÉÀå ÁúȯÀÔ´Ï´Ù. Ưº°ÇÑ ÀüÁ¶ Áõ»óÀÌ ¾ø¾î ‘ħ¹¬ÀÇ Áúȯ’À¸·Îµµ ºÒ¸®´Â ÀÌ Áúº´¿¡ ´ëÇÑ Á¶±â Áø´Ü°ú Àû±ØÀûÀÎ °ü¸®°¡ °Á¶µÇ°í ÀÖ´Ù.
½ÉÀå ±ÙÀ°(½É±Ù)Àº ÀϹÝÀûÀ¸·Î ¼ö³â °£ Á¶ÀýµÇÁö ¾ÊÀº °íÇ÷¾ÐÀ̳ª ½ÉÀå¿¡¼ Çǰ¡ ³ª°¡´Â Åë·Î°¡ Á¼¾ÆÁö´Â ´ëµ¿¸ÆÆÇÇùÂøÁõ µîÀ¸·Î ÀÎÇØ µÎ²¨¿öÁú ¼ö ÀÖ´Ù. ÀÌ´Â ½ÉÀåÀÌ Ç÷¾×À» ¿Â¸öÀ¸·Î ³»º¸³»±â À§ÇØ °úµµÇÑ ÈûÀ» ¾²¸é¼ ±ÙÀ°ÀÌ ¹ß´Þ(ºñ´ë)ÇÏ´Â ¿ø¸®´Ù.
ÇÏÁö¸¸ ºñÈļº ½É±Ùº´ÁõÀº ÀÌ·¯ÇÑ ¸íÈ®ÇÑ ÀÌÀ¯ ¾øÀÌ È¤Àº ±× ¿øÀÎÀ¸·Î ¼³¸íÇϱ⠾î·Á¿ï ¸¸Å Áö³ªÄ¡°Ô ½É±ÙÀÌ µÎ²¨¿öÁö´Â Ư¡À» º¸ÀδÙ. ½É±ÙÀÌ µÎ²¨¿öÁö¸é ±ÙÀ°ÀÇ ¼öÃà°ú ÀÌ¿Ï ±â´ÉÀÌ ¶³¾îÁ® ½ÉÀåÀÇ È¿À²ÀÌ ÀúÇϵǰí ÀÌ·Î ÀÎÇØ Ä¡¸íÀûÀÎ ºÎÁ¤¸ÆÀÌ ¹ß»ýÇÒ À§ÇèÀÌ Ä¿Áø´Ù.
°¡Àå Å« ¹®Á¦´Â ‘µ¹¿¬»ç’
ºñÈļº ½É±Ùº´ÁõÀÇ °¡Àå ½É°¢ÇÑ ÇÕº´ÁõÀº ¹Ù·Î µ¹¿¬»çÀÔ´Ï´Ù. Áõ»óÀÌ ¾ø´Â °æ¿ì°¡ ¸¹¾Æ ȯÀÚ º»Àεµ ¸ð¸£°Ô Áö³»´Ù°¡ ¾Æ¹« ÀüÁ¶Áõ»ó ¾øÀÌ ½Ç½ÅÇϰųª ±Þ»çÇÏ¿© Áø´ÜµÇ´Â ¾ÈŸ±î¿î °æ¿ìµµ ÀÖ´Ù.
´ëºÎºÐÀÇ È¯ÀÚ´Â °Ç° °ËÁø ½Ã ½ÉÀüµµ³ª ½ÉÀåÃÊÀ½ÆÄ ÀÌ»óÀ» ÅëÇØ ¿ì¿¬È÷ ¹ß°ßµÈ´Ù. ¶ÇÇÑ °¡Á· Áß µ¹¿¬»ç º´·ÂÀÌ ÀÖ´Â °æ¿ì °¡Á· °Ë»ç¸¦ ÅëÇØ Á¶±â¿¡ ¹ß°ßµÇ±âµµ ÇÑ´Ù.
Áø´ÜÀº ½ÉÀåÃÊÀ½ÆÄ, ÀÚ±â°ø¸í¿µ»ó(MRI) µî ¿µ»ó °Ë»ç¸¦ ÅëÇØ ÀÌ·ç¾îÁö¸ç µÎ²¨¿öÁø ½É±Ù ³»ºÎ¿¡ ¼¶À¯È³ª Áö¹æ Á¶Á÷ º¯¼º °°Àº Á¶Á÷ º¯È°¡ °üÂûµÇ±âµµ ÇÕ´Ï´Ù. ÇÏÁö¸¸ Á¶Á÷ º¯¼ºÀÌ ¾ø´Â °æ¿ìµµ ¸¹À¸¹Ç·Î, ¼øÈ¯±â³»°ú Àü¹®ÀÇÀÇ Á¾ÇÕÀûÀÎ ÆÇ´ÜÀÌ ÇʼöÀûÀÌ´Ù.
Ä¡·á¿Í °ü¸®´Â?
ºñÈļº ½É±Ùº´Áõ Ä¡·á´Â Áõ»óÀ» ¿ÏÈÇÏ°í ½ÉºÎÀü ¹× ±Þ»ç µîÀÇ ½É°¢ÇÑ ÇÕº´ÁõÀ» ¿¹¹æÇÏ´Â °ÍÀ» ¸ñÇ¥·Î ÇÑ´Ù.
Ãʱ⿡´Â ½É¹Ú¼ö¸¦ ³·Ãß°í ½É±Ù ÀÌ¿ÏÀ» µ½´Â ¾à¹°Ä¡·á¸¦ ÅëÇØ °ü¸®Çϰí, ¾à¹°·Î Á¶ÀýÀÌ ¾î·Á¿î °æ¿ì µÎ²¨¿öÁø ½É±ÙÀ» ÀýÁ¦ÇÏ´Â ¼ö¼úÀ̳ª ¾ËÄÚ¿Ã ÁÖÀÔÀ» ÅëÇÑ ºÎºÐ À§Ãà À¯µµ ½Ã¼úÀÌ ½ÃÇàµÇ±âµµ ÇÑ´Ù.
½Ç½Å º´·ÂÀ̳ª µ¹¿¬»ç °¡Á··Â µî À§Çè ¿ä¼Ò¸¦ °¡Áø ȯÀÚ´Â ±Þ»ç °¡´É¼º¿¡ ´ëºñÇÏ¿© À̽ÄÇü ½É½ÇÁ¦¼¼µ¿±â(ICD)¸¦ ¿¹¹æÀûÀ¸·Î »ðÀÔÇÒ ¼ö ÀÖ´Ù.
ÀÏ»ó ¼Ó °Ç° °ü¸®¹ý
ºñÈļº ½É±Ùº´Áõ ȯÀÚ´Â ½É¹æ¼¼µ¿, Çù½ÉÁõ µîÀÇ ÇÕº´ÁõÀÌ ÀÚÁÖ ¹ß»ýÇÒ ¼ö ÀÖÀ¸¹Ç·Î Áõ»óÀÌ ¾ø´õ¶óµµ Á¤±âÀûÀÎ °Ë»ç¸¦ ÅëÇØ Á¶±â¿¡ ÇÕº´ÁõÀ» ¹ß°ßÇϰí Ä¡·áÇÏ´Â °ÍÀÌ ¸Å¿ì Áß¿äÇÏ´Ù.

°í·Á´ëÇб³ ¾È»êº´¿ø ¼øÈ¯±â³»°ú ±è¿ëÇö ±³¼ö<»çÁø>´Â “°íÀ§Ç豺ÀÇ °æ¿ì µ¹¿¬»ç·Î À̾îÁú ¼ö ÀÖ´Â ¸¸Å, °¡Á··ÂÀ̳ª ½Ç½Å º´·ÂÀÌ ÀÖ´Ù¸é Á¤±âÀûÀÎ °Ë»ç¸¦ ÅëÇØ Á¶±â¿¡ ¹ß°ßÇÏ°í °ü¸®ÇÏ´Â °ÍÀÌ Áß¿äÇÏ´Ù”°í °Á¶Çß´Ù.
´ëºÎºÐÀÇ È¯ÀÚ´Â ÀûÀýÇÑ °ü¸®¿Í Á¤±â °Ë»ç¸¦ ÅëÇØ ¾ÈÀüÇÏ°Ô ÀÏ»ó»ýȰÀ» À¯ÁöÇÒ ¼ö ÀÖ´Ù. °È±â, ¿ä°¡, °¡º¿î ÀÚÀü°Å Ÿ±â µî Àú~Áß°µµ ¿îµ¿Àº ½ÉÇ÷°ü °Ç°¿¡ µµ¿òÀÌ µÇ³ª ÃÖ´ë ½É¹Ú¼öÀÇ 70%¸¦ ³Ñ´Â °í°µµ ¿îµ¿Àº Àü¹®ÀÇ¿ÍÀÇ ÃæºÐÇÑ »ó´ã°ú Æò°¡¸¦ °ÅÃÄ ´Ü°èÀûÀ¸·Î °µµ¸¦ ³ô¿©¾ß ÇÑ´Ù.
±è ±³¼ö´Â ¶ÇÇÑ “µ¹¿¬»ç »óȲ¿¡ ´ëºñÇØ º¸È£ÀÚµéÀº ½ÉÆó¼Ò»ý¼ú(CPR)°ú ÀÚµ¿Á¦¼¼µ¿±â(AED) »ç¿ë¹ýÀ» ÀÍÇôµÎ´Â °ÍÀÌ Áß¿äÇÏ´Ù”°í ´çºÎÇß´Ù.
















